Elementary Lesions

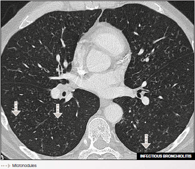
Centrilobular Micronodulation

Branching Centrilobular Micronodulations (Tree-in-Bud Pattern) of Bronchiolar origin are associated with different conditions

  • Infectious bronchiolitis

    • tuberculosis, atypical mycobacteria, cytomegalovirus, Aspergillus, Candida, and other bacteria

  • Aspiration, inhalation (gas, smoke)

  • Follicular bronchiolitis

    • Sjögren’s syndrome, rheumatoid arthritis, immune system deficiencies

  • Bronchiectasis, cystic fibrosis, primary ciliary dyskinesia, allergic bronchopulmonary aspergillosis, panbronchiolitis, constrictive bronchiolitis

 

Centrilobular Micronodules can also be associated with vascular and perivascular diseases

  • Vasculitis (granulomatosis with polyangiitis, eosinophilic granulomatosis with polyangiitis)

  • Endovascular metastases

  • Pulmonary haemorrhage

    • miliary mycosis (aspergillosis, candidosis)

    • virosis (herpes, Cytomegalovirus)

Centrilobular Micronodulation

Centrilobular Micronodulation
Centrilobular Micronodulation

Bilateral micronodules sparing the subpleural lung.

Centrilobular Micronodulation
Centrilobular Micronodulation

Axial MIP image shows tree-in-bud pattern in a bilateral distribution.

References
  1. Collège des Enseignants de Pneumologie. Item 206 (ex item 120). Pneumopathies interstitielles diffuses. 2013

  2. Cottin V, et al. French practical guidelines for the diagnosis and management of idiopathic pulmonary fibrosis - 2017 update. Full-length version. Rev Mal Respir 2017;34:900-68

  3. Brauner M, et al. Imagerie des pneumopathies diffuses. Press Med 2010 39: 73-84

  4. Raghu G, et al. Diagnosis of Idiopathic Pulmonary Fibrosis. An Official ATS/ERS/JRS/ALAT Clinical Practice Guideline. Am J Respir Crit Care Med 2018;198:e44-e68