Elementary Lesions

Perilymphatic Micronodulation

Characteristics

  • Perilymphatic micronodules are well defined nodules < 3 mm

  • Their distribution is along the lymphatic vessels:

    • the fissures and the pleura

    • the interlobular septa

    • the vascular and bronchial routes

    • in the center of the lobule

Diagnostic Orientation

  • Perilymphatic micronodulations can be associated with different conditions:

    • sarcoidosis

    • lymphangitic carcinomatosis

    • silicosis

    • berylliosis

    • diffuse amyloidosis

    • primary pulmonary lymphoma

    • lymphoid interstitial pneumonia (Sjögren’s syndrome, autoimmune diseases, HIV)

 

Perilymphatic Micronodulation
Perilymphatic Micronodulation

Micronodules with clear outlines & high densities distributed along fissures, peripheral pleura, and intralobular septa.

Perilymphatic Micronodulation
Perilymphatic Micronodulation

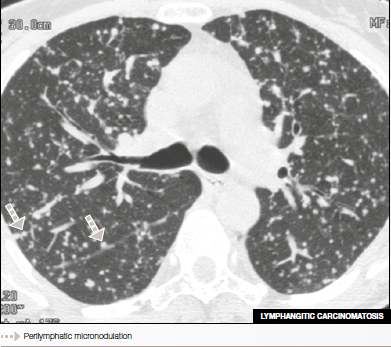
Patient presenting an adenocarcinoma in the stomach and micronodulation of the lung with a perilymphatic distribution related to lymphangitic carcinomatosis.

Perilymphatic Micronodulation
Perilymphatic Micronodulation

HRCT shows large sarcoid nodules resembling galaxies associated with enlarged sub carinal lymphnodes.

References
  1. Collège des Enseignants de Pneumologie. Item 206 (ex item 120). Pneumopathies interstitielles diffuses. 2013

  2. Cottin V, et al. French practical guidelines for the diagnosis and management of idiopathic pulmonary fibrosis - 2017 update. Full-length version. Rev Mal Respir 2017;34:900-68

  3. Brauner M, et al. Imagerie des pneumopathies diffuses. Press Med 2010 39: 73-84

  4. Raghu G, et al. Diagnosis of Idiopathic Pulmonary Fibrosis. An Official ATS/ERS/JRS/ALAT Clinical Practice Guideline. Am J Respir Crit Care Med 2018;198:e44-e68